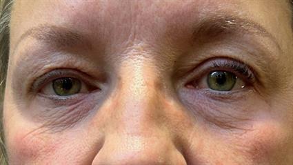
Case Details
One eye of this female patient was significantly more “open” than the other. She opted for a cosmetic bilateral upper blepharoplasty to remove excess skin and to even out the shape of the eyes. The fat pad from the right eye was removed, which helped with her dramatic transformation. The patient is delighted with the results.