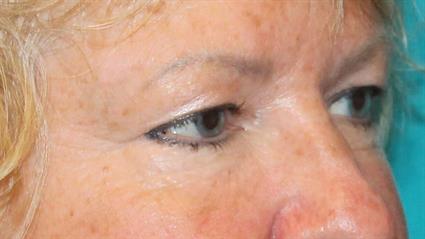
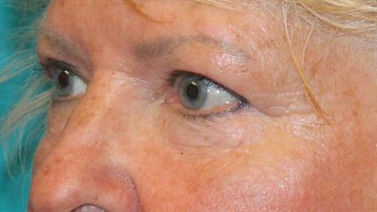
Case Details
This 56 year old female patient was referred to us for her modest superior field vision loss due to bilateral upper eyelid droop. She complained of her heavy upper eyelids. She had excess and lax skin in both upper eyelids. She had a bilateral blepharoplasty to correct her appearance and improve vision.