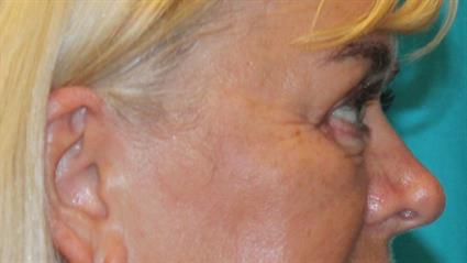
Case Details
Our 56-year-old patient complained of heavy, droopy eyelids that were negatively impacting her satisfaction with her appearance. She underwent an insurance-covered Upper Blepharoplasty and a cosmetic Lower Blepharoplasty with Dr. Janssen. She is thrilled with her results and feels she no longer has “tired eyes”.