CASE 237 Eyelid Surgery (Blepharoplasty) This 50 year old patient had mild visual field defects in the right eye, and moderate defects in the left… View Case Study
CASE 226 Eyelid Surgery (Blepharoplasty) 57 year old patient had a blepharoplasty at another practice and was unhappy with the excess skin in her right… View Case Study
CASE 197 Eyelid Surgery (Blepharoplasty) The patient’s main concerns were her aging eyes, jowls, and neck. The left eye drooped more than the right eye.… View Case Study
CASE 161 Eyelid Surgery (Blepharoplasty) This patient had droopy eyelids, and opted for a cosmetic bilateral upper blepharoplasty. No fat pads were removed. View Case Study
CASE 159 Eyelid Surgery (Blepharoplasty) Patient had a left upper eye lid excision to remove excess skin and to better match the right eye. View Case Study
CASE 23 Eyelid Surgery (Blepharoplasty) This 61 year old female patient failed her visual field test and needed an insurance covered blepharoplasty. Patient received a… View Case Study
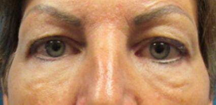
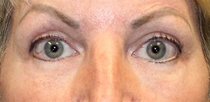
CASE 360 Eyelid Surgery (Blepharoplasty) This 57 year old female had a bilateral upper and lower blepharoplasty. The upper eyelid surgery was covered by insurance… View Case Study
CASE 239 Eyelid Surgery (Blepharoplasty) This patient failed her visual field test in both eyes. The patient noticed the field constriction and was very conscientious… View Case Study